Concept
笑顔と健康を通じて、
より良い人生をサポートします
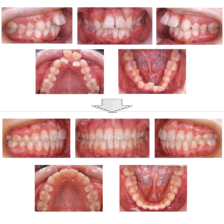
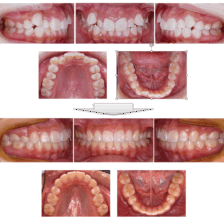
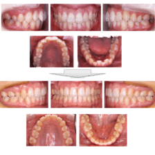
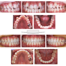
歯並びが整うと、見た目の改善だけでなく、気持ちが前向きになり、笑顔や生活全体に自信が生まれることが多くあります。
私たちは、その変化を一緒に喜び、応援したいと考えています。
矯正治療は「見た目の美しさ」を追求するだけではありません。「食べること」「笑うこと」といった日々の基本的な行動を快適にし、歯や口元の健康を向上させる治療でもあります。
矯正治療を通じて患者さまの「人生そのもの」をサポートすることを目指しています。
治療中はもちろん、治療後も快適で健康な生活を送っていただけるよう、全力でサポートいたします。
どんな小さな悩みでもお気軽にご相談ください。















